Brain Health

Asking for a Cognitive Evaluation Every Year
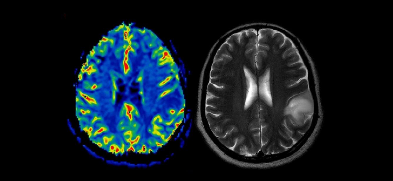
Cognitive screenings are beneficial for many people, especially if you or your loved ones are concerned about any recent changes in your memory, or even if you just want a baseline evaluation.
How Does Precision Health Support Healthy Aging?

Sleeping Well in Stressful Times
How Sleep Affects Your Health
'May' You Sleep Better for Health and Longevity
Can Sleep Impact Your Health?
Sleep is critical for maintaining good health, yet it is often taken for granted. Adults should get seven to nine hours of sleep per night, but about 1 in 3 of us report not getting enough rest. Find out how quality sleep is connected to better health.
The Top 10 Most Common Chronic Conditions in Older Adults
Nearly 93% of adults 65 and older have at least one chronic condition, while about 79% have two or more. Learn more about the most common chronic medical conditions and how you can prevent or manage them.

More Stories
How Staying Social Prevents Falls
Apr 15, 2025
What Is Alzheimer's? How Is It Treated?
Jan 03, 2025







